8月16日,吉大一院心脏外科TAVR手术团队为一名开胸瓣膜置换术后复发并伴有心力衰竭患者实施微创介入“瓣中瓣”手术,在此前置换的失功生物瓣膜内部成功植入新瓣膜,为患者再造“心门”。该手术为吉林省首例经导管主动脉瓣“瓣中瓣”置换术,填补了吉林省该领域治疗空白。

手术团队
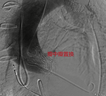
患者为59岁男性,曾于5年前开胸行主动脉瓣生物瓣膜置换术。半年前出现乏力症状,近两周乏力症状加重并伴有胸闷、胸痛、呼吸困难等,严重影响日常生活。患者辗转来到吉大一院心脏外科就诊,行心脏彩超等相关检查,发现此前植入的主动脉瓣生物瓣毁损,导致主动脉瓣再次出现中度狭窄兼关闭不全,继而诱发肺动脉压力增高、左房左室增大、右心功能减低,患者心功能EF值仅36%,出现心衰症状。经心脏外科专家会诊,患者主动脉瓣病变严重并伴有心衰,如果不尽快手术治疗,严重影响生活质量并随时有猝死风险。患者身形消瘦,体重不足60公斤,心脏周围组织严重粘连,再次实行外科开胸手术存在操作复杂、手术时间长、创伤大、出血多等问题。遂决定采取经导管主动脉瓣“瓣中瓣”置换术,此术式可不拆除原有的人工生物瓣,无需心脏停跳手术,免除再次开胸。

高永生教授主刀术中
8月9日,心脏外科主任马大实统筹,教授高永生主刀,医生杨立明、刘宇帅辅助,在麻醉科、第二手术室、超声诊断中心—心脏超声科等科室的密切配合下,为患者实施经导管主动脉瓣“瓣中瓣”置换术。患者术后主动脉瓣贴合良好,无返流、无瓣周漏,憋闷胸痛症状明显改善,心功能逐渐恢复正常,术后第4日顺利康复出院。

对于心脏瓣膜病患者而言,生物瓣膜置换是提高术后生存质量的最佳选择。然而由于生物瓣膜存在耐久性问题,该类患者往往需再次外科开胸进行瓣膜置换手术。传统开胸手术需要拆除原来的人工生物瓣膜,换上新的瓣膜。手术操作复杂,患者组织粘连严重、出血多,手术耗时长。经导管瓣中瓣置换是一种新型替代治疗方案。该技术的开展,可使患者免除再次开胸的风险和痛苦,且手术创伤小、恢复快、安全性高,为高龄、高危患者提供了更好的选择。

